Riabilitazione protesica
Riabilitazione protesica con ponte in Disilicato di Litio.
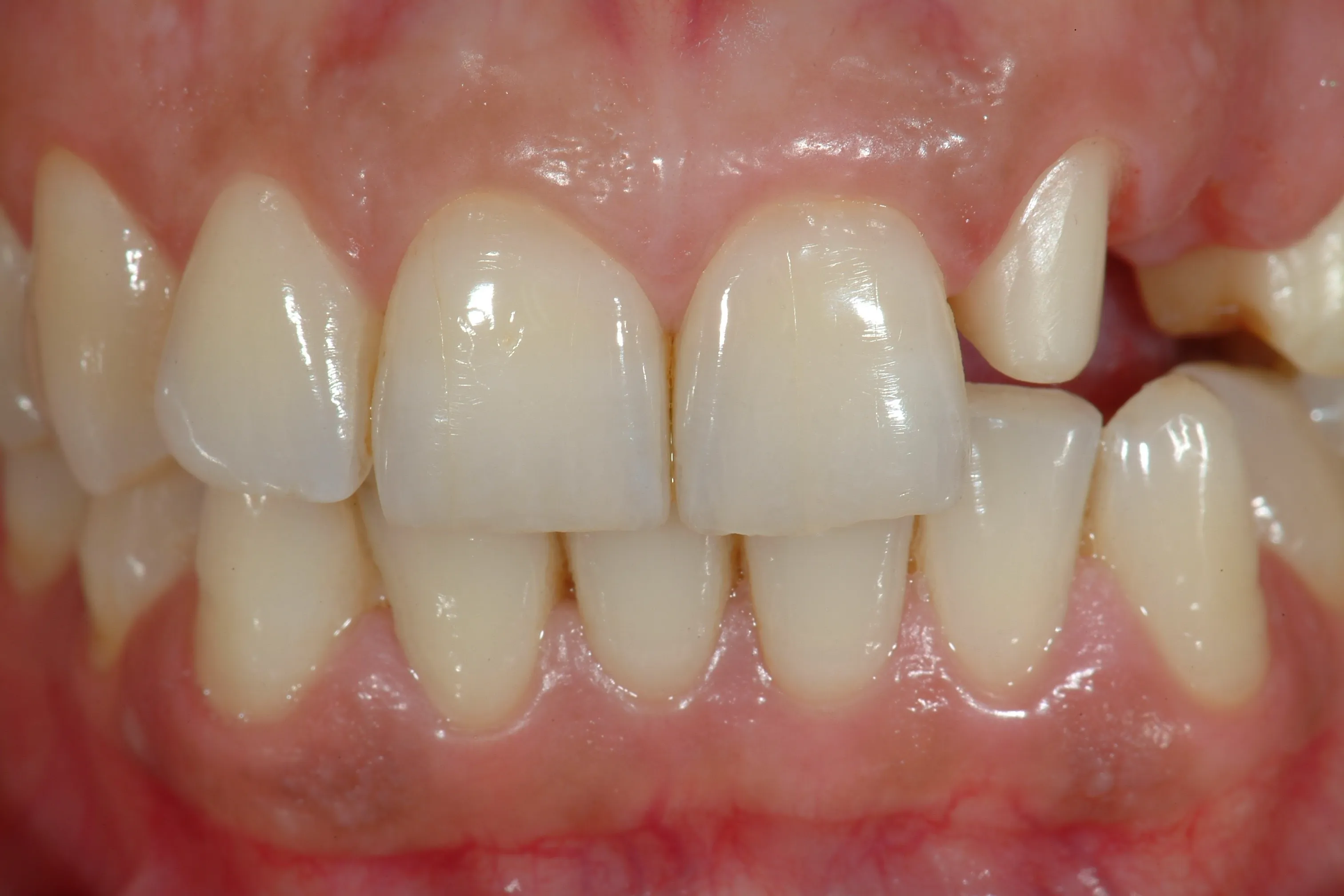
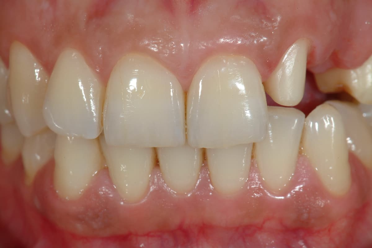
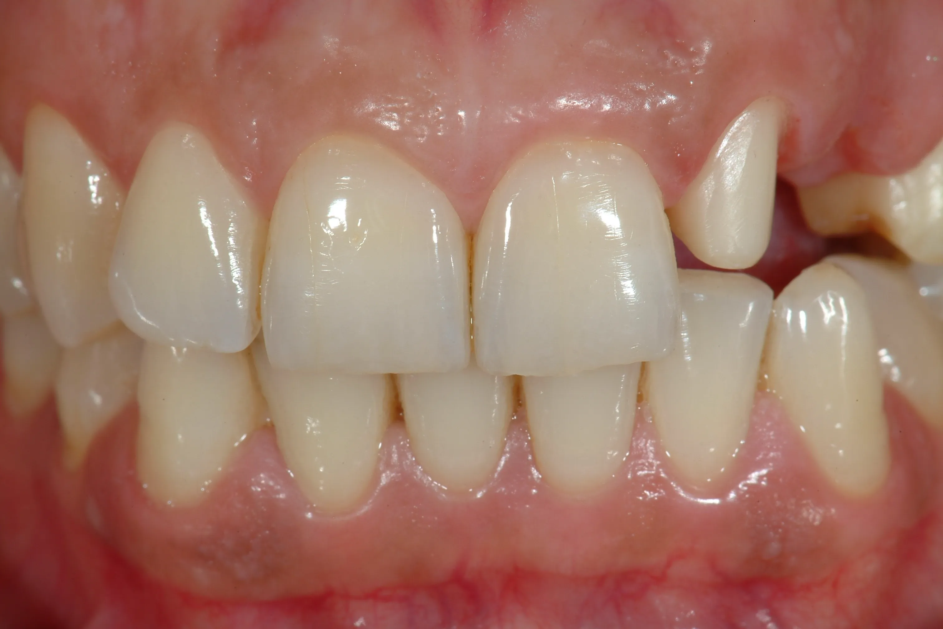
Prima

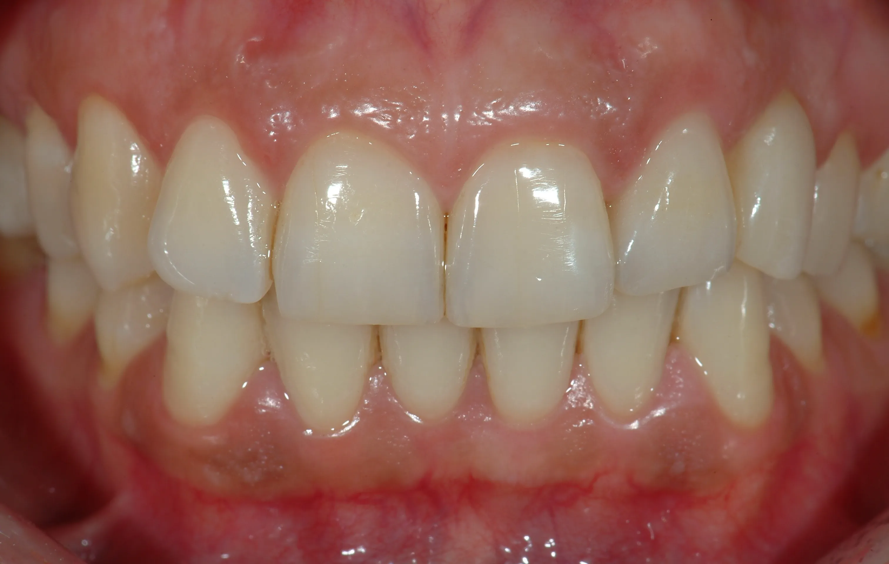
Dopo

Descrizione del caso
Il paziente necessitava di una riabilitazione protesica a causa della mancanza di elementi dentali. Dopo un'attenta valutazione, abbiamo optato per un ponte in Disilicato di Litio, materiale che offre eccellenti proprietà estetiche e meccaniche. Il trattamento ha richiesto diverse fasi: dalla valutazione iniziale alla preparazione dei denti pilastro, fino alla realizzazione e posizionamento del manufatto definitivo. Il risultato ha permesso di ripristinare sia l'estetica che la funzionalità masticatoria, con grande soddisfazione del paziente.
Procedura
- 1
Valutazione dello stato dentale
- 2
Pianificazione del trattamento protesico
- 3
Preparazione dei denti pilastro
- 4
Realizzazione del ponte in Disilicato di Litio
- 5
Cementazione definitiva
Risultati
Ripristino completo della funzionalità masticatoria e dell'estetica del sorriso con ponte in Disilicato di Litio, materiale che garantisce estetica e resistenza.
Vuoi un risultato simile per il tuo sorriso?
Il nostro team di specialisti è pronto a valutare il tuo caso e proporre un piano di trattamento personalizzato per le tue esigenze.